Vous pouvez économiser sur vos soins dentaires grâce au RCSD.

Processus rapide. Aucune obligation.

★★★★★
4.9/5 • 222 avis
+1 (450) 903-1919

Obtenez le sourire
dont vous avez toujours rêvé

✨ SIMULATION INVISALIGN GRATUITE EN 60 SECONDES

Sans engagement • Réponse en 24h • Pas de frais cachés

Google 4.9/5 ★★★★★
Patiente souriante

Vrais patients. Vraies histoires. Vraies transformations.

Plus de 200 avis 5 étoiles de personnes qui avaient autrefois les mêmes peurs, doutes et insécurités — et ont finalement trouvé une équipe dentaire en qui elles ont confiance.

Lire d'autres histoires de patients

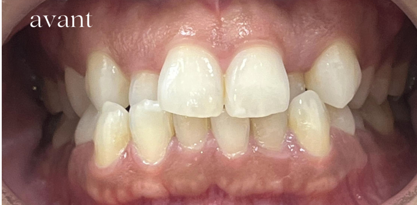
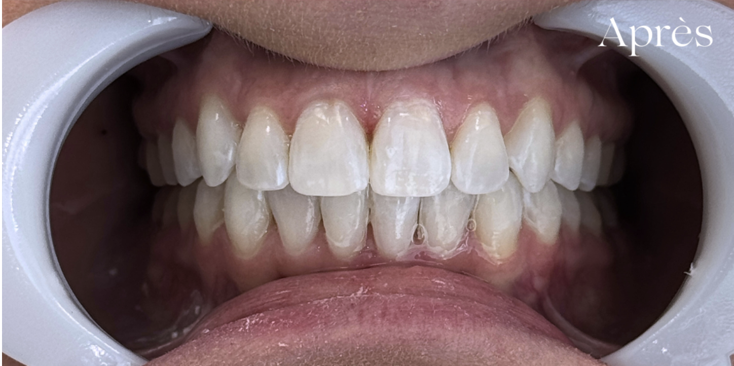
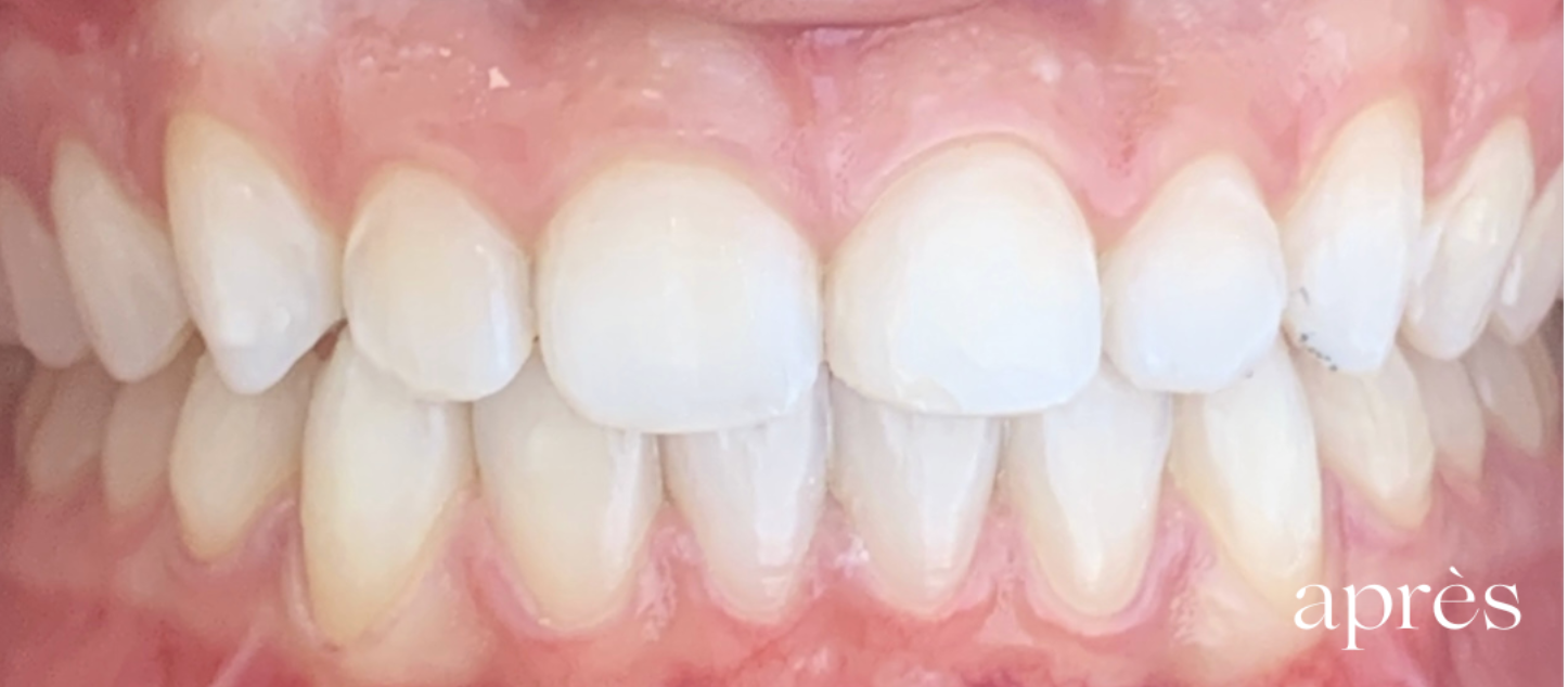
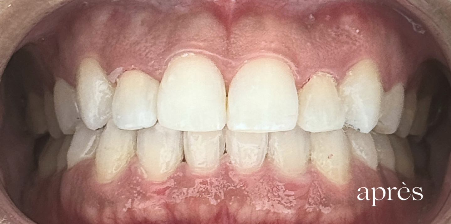
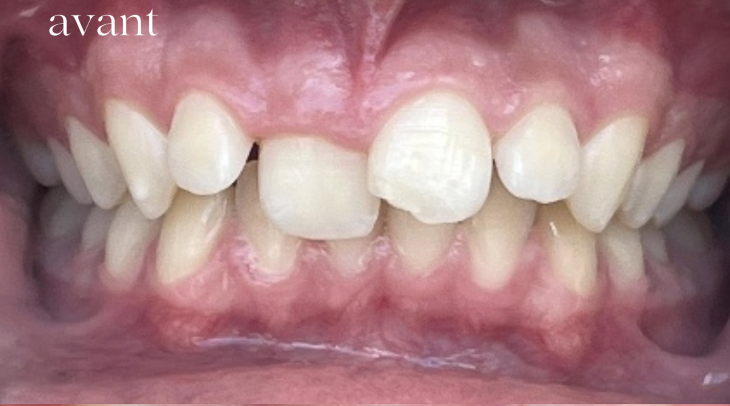
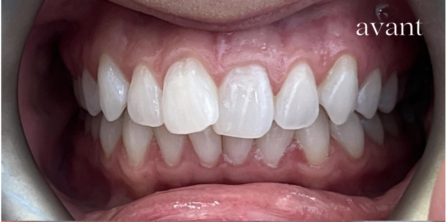
Découvrez nos transformations avant/après

Faites glisser pour révéler la transformation

Avant traitement
Après traitement
AVANT APRÈS
Avant traitement
Après traitement
AVANT APRÈS
Avant traitement
Après traitement
AVANT APRÈS

Offre exclusive Invisalign

Alignez votre sourire avec des soins excellents— à un prix qui a enfin du sens.

Économisez jusqu'à 30%
Valeur totale du traitement :
10 500$
4 500$ -
7 500$
pour un traitement Invisalign complet

Tout inclus. Pas de surprises. Pas de frais cachés.

Tout y est inclus :

  • ✔️ Consultation orthodontique sans frais Valeur de 150$
  • ✔️ Examen complet avec scan 3D, radiographies et simulation numérique Valeur de 350$
  • ✔️ Traitement Invisalign complet du début à la fin Valeur de 8 800$
  • ✔️ Fils de rétention ou appareil amovible (haut et bas) Valeur de 650$
  • Blanchiment dentaire inclus Valeur de 550$

Options de financement flexibles

Sans intérêt

Paiements sans intérêt jusqu'à 18 mois — sans stress, sans pression.

Dentalcard

Aucun dépôt initial requis. Taux à partir de 9,99%.

Notre équipe vous accueille dans un environnement moderne et apaisant

Clinique moderne
★★★★★
Avis Google

"Excellent centre dentaire. Service rapide, professionnel et très accueillant. Je recommande vivement!"

Réservez votre
consultation gratuite

Remplissez le formulaire ci-dessous et notre équipe vous contactera dans les 24 heures pour confirmer votre rendez-vous.

100% confidentiel • Vos données sont sécurisées et protégées

Obtenez un sourire parfait en 6 mois avec notre technologie de pointe

Visualisez votre nouveau sourire avant de commencer

Nous utilisons un scanner 3D numérique précis pour prévisualiser vos résultats futurs. Aucune approximation. Aucune incertitude. Juste une vision claire du sourire vers lequel vous travaillez.

Une expérience dentaire qui fait vraiment du bien

Si le dentiste vous rend nerveux, vous vous sentirez en sécurité ici. Notre équipe est douce, patiente et entièrement concentrée sur votre confort. Nous expliquons tout étape par étape pour que vous vous sentiez calme et en contrôle.

Financement 18 mois à 0% d'intérêt

Vous méritez un beau sourire sans stress financier. Nous offrons des paiements mensuels flexibles, des prix transparents et aucun frais caché. Votre budget compte, et nous vous aidons à trouver un plan qui vous convient.

Le Régime Canadien de Soins Dentaires (RCSD)

Ce que c'est

Le RCSD est un programme national qui couvre une partie de vos soins dentaires selon votre revenu familial.

Si vous êtes admissible, vos traitements coûtent beaucoup moins cher. C'est aussi simple que ça.

Qui est admissible

  • Votre revenu familial est inférieur à 90 000 dollars
  • Vous n'avez pas d'assurance dentaire privée
  • Vous êtes citoyen canadien, résident permanent ou personne protégée

Nous vérifions votre admissibilité en quelques minutes.

Ce qui est couvert

  • Examens
  • Nettoyages
  • Radiographies
  • Plombages
  • Extractions
  • Soins d'urgence

Les pourcentages de couverture varient selon votre revenu.

Êtes-vous admissible ?

  • Revenu familial < 90 000$
  • Pas d'assurance dentaire
  • Citoyen ou résident canadien
  • Couverture de 40 à 100%
✓ Nous nous occupons de tous les vérifications pour vous

Comment ça fonctionne chez nous

  • Nous acceptons le RCSD
  • Nous vérifions votre admissibilité
  • Nous gérons toute la paperasse
  • Vous venez, vous recevez vos soins, vous repartez avec des explications claires

Simple.

Découvrez si vous êtes admissible au RCSD

Nous allons vous aider à avancer avec la solution la plus solide pour votre situation.

Vérifier mon admissibilité

Vrais patients. Vraies transformations.

Écoutez les histoires de personnes qui avaient autrefois les mêmes peurs que vous — et qui sont reparties avec confiance, confort et un sourire dont elles sont fières.

Regarder plus d'histoires

Questions fréquemment posées

Trouvez rapidement les réponses à vos questions

Notre priorité est votre confort. Nous utilisons des techniques modernes et de l'anesthésie locale pour minimiser toute douleur. La plupart de nos patients rapportent très peu d'inconfort.

Le coût varie entre 4 500$ et 7 500$ selon la complexité du cas. Avec notre offre exclusive actuelle, vous économisez jusqu'à 30%. Nous offrons également des options de financement flexibles sans intérêt jusqu'à 18 mois.

Oui, nous acceptons la plupart des assurances dentaires. Notre équipe administrative vous aide à maximiser votre couverture et soumet les réclamations en votre nom pour simplifier le processus.

La durée moyenne est de 12 à 18 mois, mais certains cas peuvent être complétés en 6 mois seulement. Lors de votre consultation gratuite, nous établirons un plan de traitement personnalisé avec une durée estimée précise.

Oui, pour des résultats optimaux, vous devez porter vos gouttières 20-22 heures par jour. Vous les retirez seulement pour manger, boire des boissons chaudes, et vous brosser les dents. C'est l'un des grands avantages d'Invisalign !

Absolument ! Votre première consultation orthodontique est entièrement gratuite (valeur de 150$). Vous recevrez un plan de traitement personnalisé et une simulation 3D de vos résultats, sans engagement.

Nous sommes ouverts du lundi au jeudi de 9h00 à 17h00, et le samedi de 9h00 à 16h00. Fermé le vendredi et le dimanche.

Oui, le blanchiment professionnel est parfaitement sécuritaire lorsqu'effectué sous supervision dentaire. Nous utilisons des produits de qualité professionnelle qui protègent vos gencives et votre émail tout en donnant d'excellents résultats.

Oui ! C'est l'un des avantages majeurs d'Invisalign. Vous retirez simplement vos gouttières avant de manger, ce qui signifie aucune restriction alimentaire. Contrairement aux broches traditionnelles, vous pouvez continuer à profiter de tous vos aliments préférés.

C'est simple ! Vous pouvez remplir le formulaire ci-dessous, nous appeler au (450) 903-1919, ou nous envoyer un message WhatsApp. Nous vous répondons en moins de 24 heures et vous proposons plusieurs plages horaires.

Une équipe dévouée à transformer votre sourire

Derrière chaque sourire, une équipe dévouée et passionnée.

Dr Safoua Benyoucef, DMD

Dr Safoua Benyoucef, DMD

Dre Benyoucef a gradué de l'université de Montréal en 2017. Depuis, elle a su multiplier les expériences et les apprentissages dans divers domaines de la dentisterie pour parfaire son art. Sa discipline de prédilection: l'orthodontie (Invisalign). Elle considère que redonner à ses patients un sourire à la hauteur de leurs espérances est ce qu'il y a de plus gratifiant dans sa pratique et fait tout ce qui est en son pouvoir pour y arriver. Lorsqu'elle ne se consacre pas à ses activités professionnelles, Dre Benyoucef aime plus que tout passer du temps en compagnie de sa famille et trouve une immense satisfaction à remplir son rôle de maman. Elle adore cuisiner des petits plats santé pour sa famille: des mijotés réconfortants aux desserts décadents, tout est préparé avec amour et dédication!

Maha, secrétaire dentaire

Maha, secrétaire dentaire

Rencontrez Maha, notre douce et agréable secrétaire. Maha est la personne ressource pour gérer le côté financier de vos visites dans notre cabinet. Elle saura vous présenter les options de financement, vous donnera des explications par rapport à votre couverture, vous remettra des estimations selon votre plan de traitement avant même votre rendez vous et fera la réclamation aux assurances pour vous, le tout, pour vous guider, vous donner l'heure juste en tout temps et vous éviter les mauvaises surprises! Maha est notre rayon de soleil, sa douceur et sa bienveillance transparaissent jusqu'à sa manière joviale de répondre au téléphone. Dans ses temps libres, Maha apprécie les longues promenades dans la nature, la musique classique et la bonne cuisine!

Tatiana, assistante dentaire

Tatiana, assistante dentaire

Tatiana est notre assistante expérimentée qui vous accompagnera au long de vos traitements. Sa bonne humeur et sa nonchalance aident à détendre même les patients les plus anxieux! Tatiana apprécie plus que tout son rôle de mère et ne se prive pas de gâter les siens avec d'excellents desserts maison dans ses temps libres!

Shogofa, assistante dentaire

Shogofa, assistante dentaire

Shogofa saura vous détendre et vous accompagner tout au long de vos traitements dentaires. Elle est douce, délicate et rassurante! Shogofa accorde une grande importance à sa famille (et à son petit chien!). Elle apprécie les moments passés en la compagnie des siens, ainsi que la bonne musique!

Notre équipe se réjouit de vous accueillir avec le sourire.

Votre nouveau sourire
n'est qu'à un pas

Peu importe votre objectif dentaire, on est prêts à vous guider vers la solution la plus efficace.

Réserver ma consultation gratuite

Ou appelez-nous au +1 (450) 903-1919

Réserver
🎁

Attendez ! Offre Spéciale

Consultation gratuite + Simulation 3D offerte

Plus que 3 places aujourd'hui

Obtenez votre consultation gratuite (valeur 150$) et découvrez votre nouveau sourire en 3D avant de partir !

Sans engagement • Réponse en 24h